Es la falta de paralelismo entre ambos ejes oculares respecto a la dirección de la mirada.
Es la falta de paralelismo entre ambos ejes oculares respecto a la dirección de la mirada.
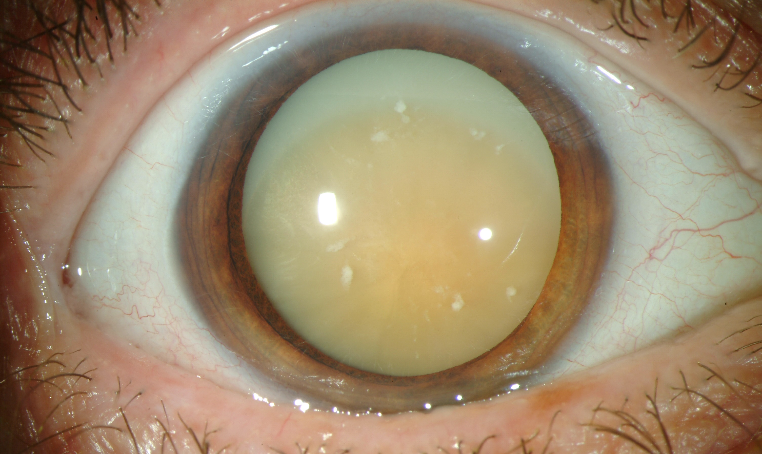
Se llama catarata a la pérdida de transparencia del cristalino. El cristalino es una lente natural que se encuentra inmediatamente detrás de la pupila.
El glaucoma es una enfermedad progresiva de los ojos que puede causar ceguera sí no se lo trata. Es especialmente peligrosa porque generalmente en sus comienzos no presenta síntomas.
Por esta razón hay quienes refieren al glaucoma como "el ladrón sigiloso de la vista”.
Es una complicación de la diabetes, que afecta al ojo y que aparece cuando se deterioran los vasos sanguíneos de la retina.
Se llama Blefaritis a la inflamación de los párpados. A menudo su origen se debe a un mal funcionamiento de las pequeñas glándulas que se encuentran en el margen palpebral.